If you're contemplating dental veneers or have already undergone the procedure, it's essential to grasp how long they'll endure. The durability of your dental veneers largely depends on the type you opt for. Nevertheless, proper care is the key to maximizing their lifespan.
Maintaining Your Dental Veneers
Once your dental veneers are in place, your responsibility continues. Adhering to sound oral hygiene practices is paramount in preserving your dental veneers. To ensure the longevity of your veneers, follow these guidelines:
Daily Brushing and Flossing: Brush your teeth at least twice a day for a minimum of two minutes to eliminate plaque. Additionally, flossing daily is crucial.
Moderate Sweets: While you don't have to completely abstain from sweets, it's advisable to monitor your sweet consumption carefully, especially if you have dental veneers, to safeguard your oral health.
Regular Dental Checkups: Routine visits to our Florida office every six months are vital for extending the lifespan of your veneers. During these appointments, we'll provide professional cleaning to keep your teeth free of plaque and debris.
Composite vs. Porcelain
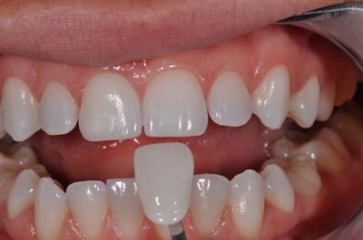
The longevity of your dental veneers hinges on their type. Porcelain veneers can endure for approximately 10 to 12 years with proper care, while composite veneers generally last between 4 and 8 years. Exceptionally well-maintained veneers can even persist for up to 20 years. Your dentist will be your guide in determining when it's time to replace them, so feel free to ask for advice.
Recognizing the Need for Replacement
The process of replacing dental veneers is akin to the initial application. Your dentist will commence by refining and removing the bonding agent. Subsequently, they will take a new mold of your teeth to ensure a precise fit for your new veneers. The fresh dental veneers will then be expertly bonded to your teeth.
With proper care, dental veneers can offer durability for many years. Uphold optimal oral health practices to ensure they last as long as possible. If you're contemplating dental veneers and have questions, reach out to Flossy Smiles Dental Implants & Esthetics for expert guidance and answers to your queries. Your smile is our priority!
