Offers Expire: September 30th, 2025

Implant Consultation
Curious to know if you’d be a good candidate for a dental implant? Schedule a FREE implant consultation with Dr. Gio to learn more!

Any Treatment
Restore your smile today and take off $500 off any dental treatment! New patients only.
Do you need long-lasting relief from tooth loss? Dental implants at Flossy Smiles Dental Implants & Esthetics are specially designed to permanently replace lost teeth and boost quality of life for our patients.
A dental implant is specifically designed to replace a missing tooth. When a tooth falls out or is extracted, a gap is present in your smile. Over time, the underlying bone can be impacted and you may find that surrounding teeth shift out of place. Rather than wear a prosthetic appliance, a dental implant works with your body to replace that tooth.
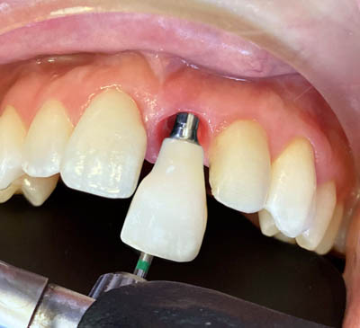
Each dental implant is surgically placed into the jaw bone, acting as an anchor that supports a dental restoration, replacing both the missing tooth and its root. Your single implant will be sealed with a custom-shaded crown restoration that perfectly matches the rest of your smile.
Dr. Gio and his team typically recommend dental implants to patients who are missing their natural teeth. Offering more support and lasting stability than a partial denture, a dental implant can be placed directly into the underlying jawbone. Implants are often considered permanent because they actually bond with the jawbone over the course of just a few months. You’ll love having a full, healthy smile thanks to implant technology!
We offer the following dental implant systems:

Starting at
$12,489
Fee Includes:
This cost does not include bone graft surgery (required in some cases), anesthesia or IV sedation, or the final prosthesis, which is placed at a later date.

(per arch) Starting at
$5,489
Fee Includes:
This cost does not include bone graft surgery (required in some cases) or anesthesia or IV sedation.

Starting at
$1,849
Fee Includes:
This cost does not include bone graft surgery (required in some cases) or anesthesia or IV sedation.
A single tooth implant is designed to replace the missing tooth, as well as its root. Yours will be sealed with a custom-shaded dental crown that perfectly matches the rest of your smile.
If you decide to move forward with your single dental implant, our team will extract any remounts of the damaged tooth to clear space for your new restoration, if needed. Our dentist will then insert the titanium post into the jaw bone, then allow you to take some healing time before completing your implant with a custom-shaded dental crown that perfectly matches your smile.
At Flossy Smiles Dental Implants & Esthetics, single dental implants are built to last for decades! With proper care, you can count on long-lasting results that allow you to eat, speak, and smile with confidence.
Implant-retained dentures are partial or full dentures that sit atop dental implants for a healthier, more stable fit. Implant-retained dentures are proven to be a healthier alternative to traditional dentures as their ultra-snug fit promotes healthy bone retention. Similar to traditional dentures, they are removable and require daily care.
All-On-4 implant dentures are a long-lasting solution for patients who are tired of having to deal with traditional removable dentures. The best part? This system is designed to give patients a new, full set of teeth on the very same day as their procedure!
They work by implanting four titanium implants into the patient’s upper or lower arch, securing stronger than traditional implants since they are integrated into the jawbone and attached to custom dentures. All-On-4 dental implants appear natural and realistic because they are crafted for each individual’s comfort and fit.
In order for dental implants to work for you, you’ll need enough supportive bone in the area of the jaw where they’ll be placed. The best way to determine if implants are right for your needs is with both a thorough exam and series of x-rays. Our team is happy to perform restorative evaluations right here in the office. Even better, there is no age limit when it comes to who would benefit from dental implant restoration at Flossy Smiles Dental Implants & Esthetics!
When you visit us for your dental implant placement, we’ll first numb the area that will be worked on. We then make a small incision through the gums to place the titanium implant post, using specialized tools and techniques. The implant is embedded deep into the jawbone. Afterward, we’ll provide you with instructions on how to care for the area while it heals.
Once your dental implant is fully healed, our team will craft a special dental crown that fits over the implant’s abutment to finish off your smile.
Your out-of-pocket dental implant costs will be affected by your dental insurance plan. To make it easier for you, Flossy Smiles Dental Implants & Esthetics is in-network with many major dental insurance carriers.
Don’t have dental insurance? You can take advantage of our in-house dental discount plan that offers discounts on a range of dental treatments. If you need additional help financing your dental implants, we offer monthly payment plans through CareCredit and LendingClub, too!
Dental implants are widely known to be a safe, secure tooth replacement solution for one or more lost teeth. Your dental implant procedure will begin with a consultation with our skilled dentist. Dr. Gio will take time to examine your mouth, including your teeth and jaw bones, to determine if any preliminary procedures are necessary, including a dental extraction or bone graft surgery.
If your dentist determines you are a candidate for dental implants, you’ll undergo dental implant placement, during which titanium posts will be implanted into the jawbone and topped with new, natural-looking restorations. After your dental implant procedure, you’ll return to our Coral Gables dental office for a follow-up visit to ensure proper healing.
Some of the most common types of dental implants are endosteal implants and All-On-4 dental implants. Endosteal implants use a titanium root that is implanted into the jawbone and supported by a post that will secure a dental crown or bridge restoration.
All-on-4 dental implants are a popular solution that allows patients to support an entire arch of new teeth with just four implants. The specialized placement of the implants allows the replacement teeth to remain ultra-secure and promotes a faster recovery time.
At Flossy Smiles Dental Implants & Esthetics, we offer a selection of dental implant solutions, including single endosteal dental implants, hybrid dental implants, and All-on-4 implants.
Dental implants are life-changing for patients suffering from tooth loss. Strong replacement teeth can completely restore a patient’s ability to properly eat, speak, and chew. They also prevent some of the complications that can arise from leaving lost teeth untreated, including jawbone deterioration, bite dysfunction, and more.
Dental implants are highly effective and designed to look, feel and function just like natural teeth. With proper care, they can protect your functional smile, proper facial structure, and healthy jawbone for decades!
Patients who choose single tooth replacement with dental implants also experience the following smile benefits:
At Flossy Smiles Dental Implants & Esthetics, permanent single implants have helped patients restore their oral health and confidence, while restoring their smile’s beautiful, natural-looking appearance!
Have questions about financing your treatment? Just call today to speak with a member of our friendly team.
Schedule Your Dental Implant Consultation with Flossy Smiles Dental Implants & Esthetics
Dental implants can transform your smile and quality of life! Call today to have your tooth replacement questions answered at a restorative dentistry consultation.
With several conveniently located dental offices throughout South Florida, we make expert dental care easy to access—no matter where you are.