Dental Veneers in Miami, FL

Looking for a seamless, stress-free solution to correct your smile? At Flossy Smiles Dental Implants & Esthetics, we provide composite and porcelain dental veneers to help patients address minor smile imperfections and cosmetic concerns.

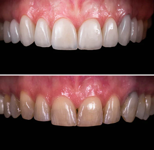
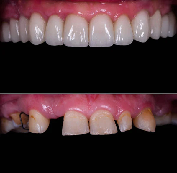
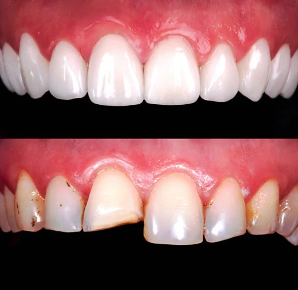
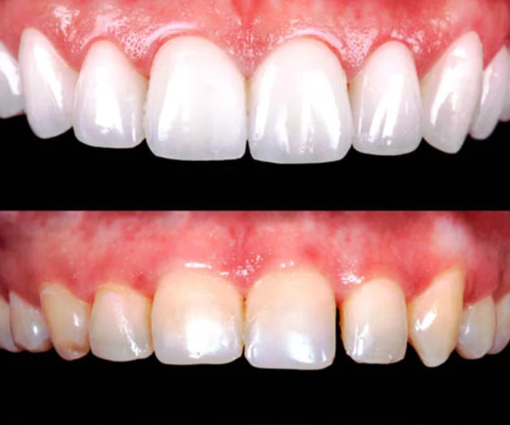
Veneers are thin, custom-crafted restorations that cover the front of the teeth. Our veneers are custom-made specifically for each patient to ensure a natural look and feel. With our high-quality porcelain materials, you can expect the new veneers to last for about a decade before replacement is necessary!

Who Needs Porcelain Veneers?

Patients often seek dental veneers to correct minor aesthetic smile imperfections. If you have teeth that are misshapen, cracked, stained, discolored, or gapped, dental veneers can help! Rather than undergo extensive procedures to fix these issues, veneers will act as covers for the teeth, providing the complete, healthy smile you’ve always wanted.

Dr. Gio of Flossy Smiles in Miami, FL

Special Offer: $699 Dental Veneers

Ready to achieve a whiter, straighter, naturally beautiful smile with dental veneers? Flossy Smiles Dental Implants & Esthetics is now offering $699 cosmetic veneers for just $699, when you pay for 10 top or bottom dental veneers!

Are Dental Veneers Right for Me?

To achieve optimal, healthy results from your veneers, the front teeth may be flawed, but should be otherwise healthy enough to hold onto the veneers. If they are severely decayed or damaged, we might suggest other forms of treatment before you can have veneers placed. With the help of a thorough exam, we can determine if porcelain veneers are right for you. Most of our patients who desire cosmetic veneers can safely complete the procedure!

How Do Dental Veneers Work?

Tooth veneers work through thin shells that are applied to the front of the teeth to cover aesthetic flaws like chips, cracks, gaps, and misalignment.

Dental veneers can be customized according to shape, shade, spacing, and thickness, to fit your restorative needs and desired smile outcome. The application process requires minimal tooth prep, and the result is a strong, secure outcome designed to last!

How Much Do Dental Veneers Cost?

At our office in Miami, FL, your total out-of-pocket dental veneers cost will mostly be affected by your dental insurance plan.

Our standard price for dental veneers by materials is listed below. Please note that the total costs of dental veneer placement can vary depending on each unique patient and case:

  • Single veneers: $789 per veneer
  • Composite dental veneer package: includes 20 teeth (10 top, 10 bottom) designed to last 7-10 years, starting at $3,900.*
  • Porcelain dental veneer package: 20 teeth (10 top, 10 bottom), designed to last 15-20 years.starting at $7,900.*
  • *Clinical exams are not included in dental veneer pricing.
What Type of Dental Veneer Do I Need?

At Flossy Smiles Dental Implants & Esthetics, we offer porcelain and composite dental veneers to meet our patients’ needs. Both materials are durable, aesthetically pleasing, and designed to last for years.

Composite veneers are crafted from tooth-colored resin. These veneers are a more affordable, quicker alternative to porcelain veneers. Composite veneers can be used to address a variety of aesthetic smile concerns.

Durable porcelain veneers are custom-made to perfectly fit each unique smile. Porcelain veneers are ultra-strong and generally last longer than composite alternatives. They provide a more natural appearance and are an excellent choice for fixing more complex aesthetic concerns.

Are Dental Veneers Uncomfortable?

Most patients experience minimal to no discomfort or pain from their dental veneer placement. Our team will ensure your comfort during the procedure by providing a mild, local anesthetic. Once your veneers are set in place, they’ll feel just like your natural teeth!

“I had my veneers done here. So happy with my results, dr. Gio is a true professional and very caring. All personnel is sweet and understanding, I am scared of dentists but they made me feel comfortable and completely at ease. I did not mind driving here all the way from Delray Beach. I highly recommend Dr. Gio to everyone.”

Natalia

“I had a great experience while under the care of Dr. Gonzalez. He is professional and very detail oriented, explaining each procedure as he performs it and best of all I felt no pain. I highly recommend him.”

Dalia S.

Visit Us Today!

Call Us Now

With several conveniently located dental offices throughout South Florida, we make expert dental care easy to access—no matter where you are.

Flossy Smiles Dental Implants & Aesthetics

Coral Gables Locations

Flossy Smiles Dental Implants & Aesthetics

Hollywood Locations